



Mammography
Mammography is an imaging modality that uses low energy x-rays specifically for imaging of breast tissue. Each breast is examined separately and compressed against the film to obtain maximum visualization of masses or calcification. Numerous studies show that breast cancer is the most common cancer to affect women, however with early screening and quality treatment the survival rate significantly increases, as it plays a central role in the early detection of breast cancer and other breast diseases
Download Document - Breast magnetic resonance imaging
Breast Tomosynthesis
Breast tomosynthesis, also called three-dimensional (3-D) mammography and digital breast tomosynthesis (DBT), is an advanced form of breast imaging, or mammography, that uses a low-dose x-ray system and computer reconstructions to create three-dimensional images of the breasts. It reduces the rate of false positive readings (a reading that identifies normal tissue as an abnormality) and ensures that fewer women need to come back for another mammogram. It reduces the need for a biopsy and enables the healthcare provider to more accurately locate where the abnormality is in the breast.

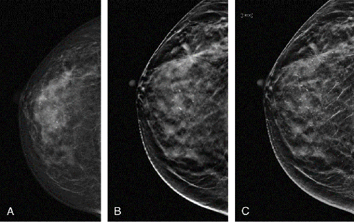
Breast MRI
Breast MRI (magnetic resonance imaging) uses radio waves and strong magnets to make detailed pictures of the inside of the breast, and primarily used as a supplemental tool to breast screening with mammography or ultrasound. It may be used to screen women at high risk for breast cancer, evaluate the extent of cancer following diagnosis, or further evaluate abnormalities seen on mammography. Breast MRI does not use ionizing radiation, and it is the best method for determining whether silicone breast implants have ruptured.
Download Document - Breast magnetic resonance imaging
Stereotactic and Vacuum Biopsy
Accurate computer imagaing guidance allows precise localization of breast lesions which can be sampled by biopsy or removed with vacuum assisted biopsy. Vacuum assisted biopsy is an alternative to surgical biopsy and is performed under local anaesthetic.

Bone Densitometry
Bone densitometry, also called dual-energy x-ray absorptiometry, DEXA or DXA, uses a very small dose of ionizing radiation to produce pictures of the inside of the body (usually the lower (or lumbar) spine and hips) to measure bone loss. A bone density test is mainly done to look for osteoporosis (thin, weak bones) and osteopenia (decreased bone mass) so that these problems can be treated as soon as possible. Early treatment helps to prevent bone fractures. The complications of broken bones related to osteoporosis are often severe, particularly in the elderly. The earlier osteoporosis can be diagnosed, the sooner treatment can be started to improve the condition and/or keep it from getting worse.

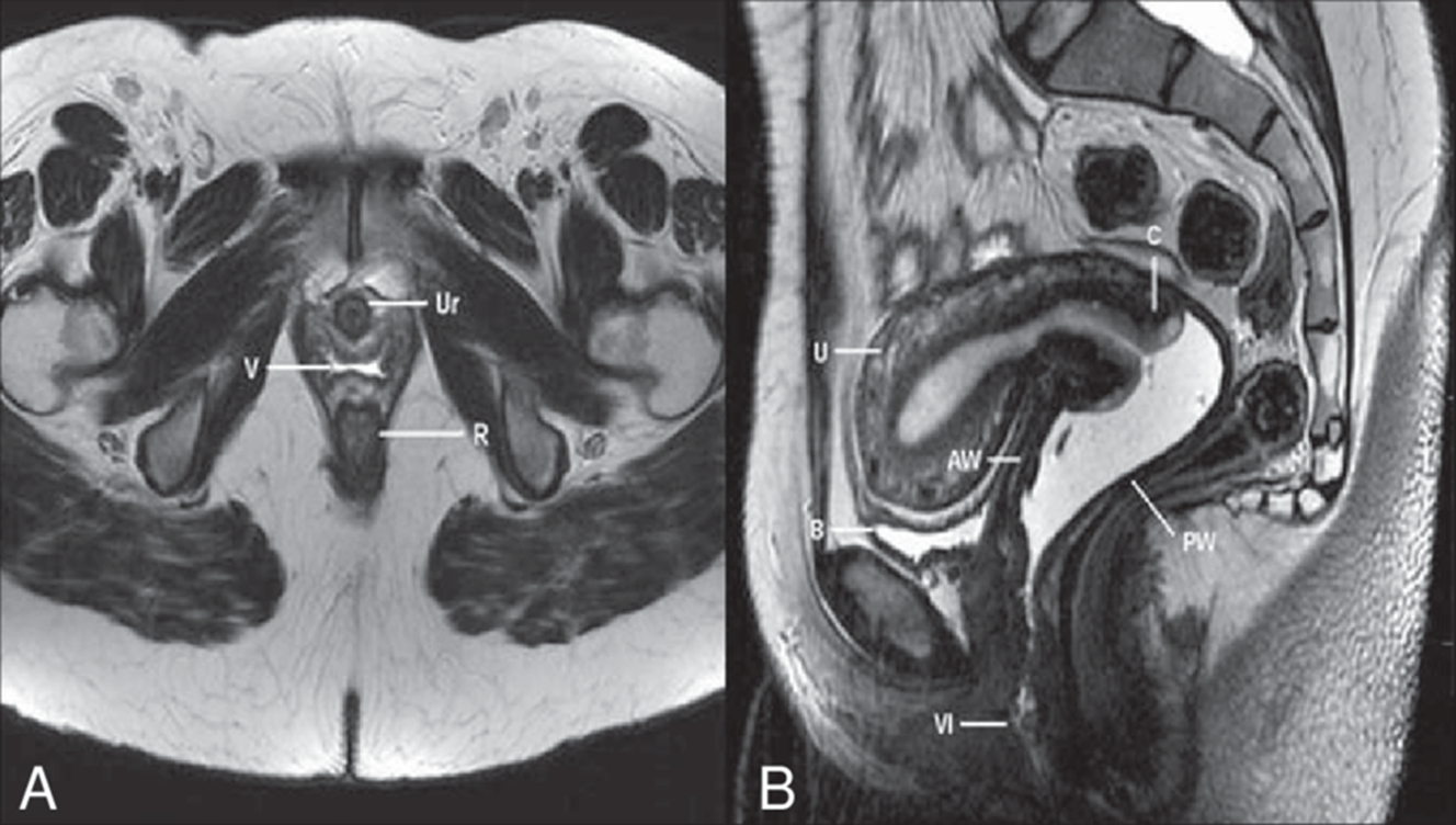
Pelvic MRI
A pelvic MRI scan specifically helps your doctor to see the bones, organs, blood vessels, and other tissues in your pelvic region—the area between your hips that holds your reproductive organs and numerous critical muscles. It can help find problems such as tumours in the ovaries, uterus, prostate, rectum, and anus. If you are pregnant, MRI may be used to safely monitor you or your baby. Excellent modality to diagnose endometriosis as MRI is sensitive to blood products.

Fibroid Embolization
Uterine artery embolization (UAE) is a procedure to treat fibroids without surgery. Instead, the doctor (a radiologist) uses special imaging methods to treat your uterine fibroids. During the procedure, the blood supply of the fibroids is cut off, causing the fibroids to shrink. Fibroids are non-cancerous growths that develop in or around the womb (uterus). The growths are made up of muscle and fibrous tissue, and vary in size. They're sometimes known as uterine myomas or leiomyomas. Many women are unaware they have fibroids because they don't have any symptoms.
Visit our treatment site at: www.fibroidtreatment.co.za
