
Prostate MRI
Multiparametric MRI is an accurate way of detecting and staging of prostate cancer. It is an extremely useful tool to direct the urologist to the exact area of concern, so an accurate representative biopsy result can be obtained. It can also indicate the degree of spread outside the prostate or if it is confined to the prostate, which can affect the management and treatment. Some prostate cancers are slow-growing and never spread beyond the prostate gland. Not all prostate cancers need treatment. Cancer is easier to treat and is more likely to be cured if it's diagnosed in the early stages of the disease.
Download Document MRI Prostrate
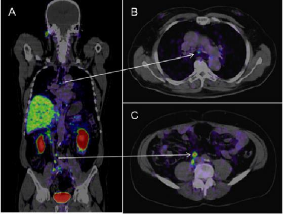
Prostate PET CT
PSMA (prostate-specific membrane antigen) / PET CT uses an isotope specific to the prostate, to accurately detect recurrence or spread of prostate cancer.

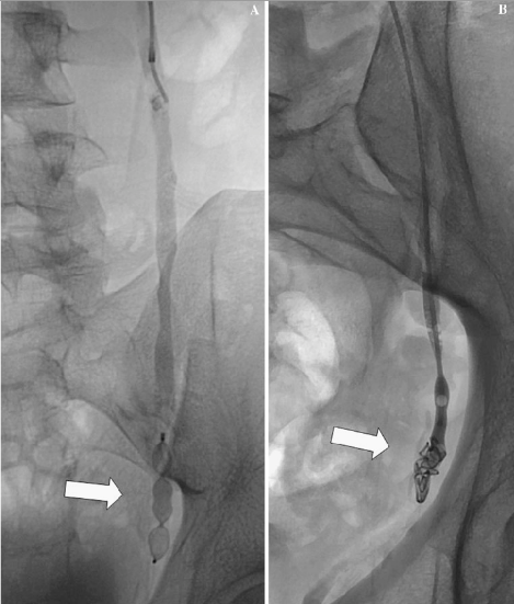
Varicocele Embolization
A Variocele is an enlarged vein in a male's scrotum with abnormal blood flow that may cause pain, swelling or infirtility. Varicocele embolixation uses imaging guidance and catheter (long, thin, hollow, plastic tube) to place tiny coils and/or a liquid substance in a blood vessel to divert blood flow away from a varicocele. It is less invasive than conventional surgery,can safely relieve pain and swelling, and may improve sperm quality.
https://www.youtube.com/v/d4_LnU43yzU